LA MÉTHODE Du dr. jacob CHIRURGIEN-DENTISTE
Découvrez la méthode mise au point par un chirurgien-dentiste après 41 ans de pratique et 5 000+ patients soignés. Simple. Rapide. À la portée de tous.
Accès immédiat · Informations 100% confidentielles · Paiement sécurisé Stripe

Vous vous brossez les dents tous les jours. Consciencieusement. Pourtant, vos gencives saignent encore. Vous redoutez chaque visite chez le dentiste. Et vous savez au fond de vous qu'un jour, ce sera peut-être trop tard.
Voici pourquoi : 20 milliards de bactéries vivent dans votre bouche. Chaque jour, elles détruisent les tissus de soutien de vos dents. Et tout ce qui est perdu… est perdu pour toujours.
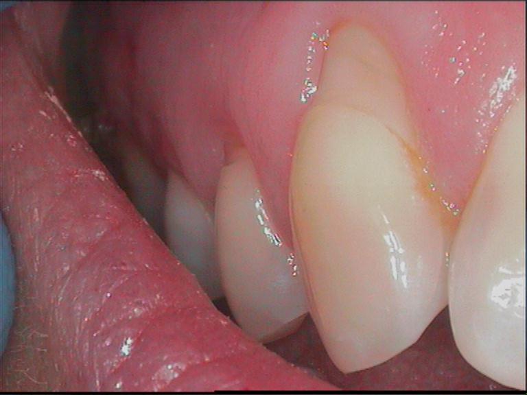
Premier signal d'alerte d'une parodontite naissante
Brosse électrique, hydropulseur, fil… sans résultat durable
Une fois perdues, elles ne reviennent jamais
Le Dr Philippe Jacob est chirurgien-dentiste retraité, fondateur de la société Anatomical Dental Cleaning. Pendant plus de 4 décennies, il a observé, analysé et corrigé les habitudes de brossage de milliers de patients, dont de nombreux cas de problèmes parodontaux.
De cette pratique clinique est née une conviction forte : la majorité des problèmes dentaires viennent d'un brossage mal compris, et non d'un manque d'instruments.
Sa méthode ne nécessite qu'une seule brosse à dents manuelle. Pas de matériel coûteux. Pas de gestes compliqués. Juste les bons mouvements, aux bons endroits.

Un système complet, conçu pour que chacun obtienne un résultat visible dès les premières semaines.
Vous découvrez les zones précises où les bactéries s'accumulent. Celles que personne ne vous a jamais montrées.
Vous apprenez où porter votre attention en priorité, et pourquoi votre brossage actuel passait à côté.
Vous reproduisez la méthode dans votre propre bouche, en suivant une vidéo tournée directement en bouche réelle.
La méthode est tournée en bouche réelle, sans modèle plastique, sans animation. Du concret, validé par 41 ans de pratique clinique.
Tout ce dont vous avez besoin pour transformer votre brossage, livré chez vous et accessible 6 mois en ligne.
E-book d'explication (PDF téléchargeable) - 41 ans d'expertise condensés
Brosse manuelle adaptée - Envoyée chez vous gratuitement, expédition sous 5 jours ouvrés
Vidéo démonstrative en bouche réelle - Pas de modèle plastique, pas d'animation
Accès 3 mois à l'espace membre - Revoyez la méthode autant de fois que nécessaire
Paiement unique · Aucun abonnement
Accès immédiat plateforme & bonus exclusifs

Paiement sécurisé Stripe · SSL encrypté · Données 100% confidentielles · RGPD

La plupart des personnes constatent une diminution des saignements de gencives dès les 2 à 3 premières semaines. Pour un changement durable, comptez 1 à 2 mois de pratique régulière.
Oui. La méthode est universelle : elle s'adapte à toutes les bouches. Les zones de nettoyage restent les mêmes, seule la fréquence d'attention sur certaines zones peut évoluer.
Une brosse électrique fait des mouvements stéréotypés, non adaptés à votre anatomie. Le Dr Jacob a observé pendant 41 ans que la brosse manuelle, bien utilisée, donne de meilleurs résultats qu'une brosse électrique mal utilisée.
2 minutes par séance. Pas plus. La méthode est conçue pour être rapide et efficace, pas pour vous faire passer 10 minutes dans la salle de bain.
Vous recevez immédiatement un email avec vos identifiants d'accès à l'espace membre. Vous pouvez commencer la méthode tout de suite. Votre brosse adaptée est expédiée sous 5 jours ouvrés.
Non. Elle est conçue comme une méthode de NETTOYAGE quotidien, pas une technique de SOINS. Elle vient en complément des soins effectués par votre dentiste. Mais elle peut considérablement espacer la fréquence de ces visites.
Inscrivez-vous pour recevoir gratuitement les bases de la méthode en 5 emails - sans engagement. Désinscription à tout moment.
Conditions Générales de Vente | Mentions Légales | Contact :
© 2026 Anatomical Dental Cleaning · SAS · RCS Toulouse 892 930 546